ΟΔΟΝΤΙΚΑ ΕΜΦΥΤΕΥΜΑΤΑ
Η συστηματική αδιαφορία για τη στοματική υγιεινή ή ακόμη και ένα μικροατύχημα μπορεί να μας στοιχίσει το χαμόγελό μας. Τι γίνεται, λοιπόν, όταν χρειαζόμαστε «νέα» δόντια για να μπορέσουμε να μιλήσουμε σωστά, να μασήσουμε και να χαμογελάσουμε; Τα οδοντικά εμφυτεύματα ίσως είναι η απάντηση στο πρόβλημά μας.
Τι είναι τα οδοντικά εμφυτεύματα;
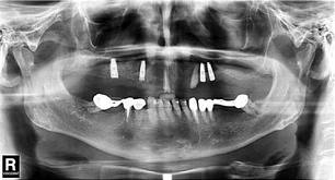
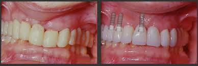
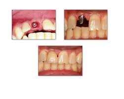
Αποτελούν την πιο σύγχρονη λύση για την αντικατάσταση των δοντιών που λείπουν. Πρόκειται για κατασκευές από τιτάνιο ως επί το πλείστον που τοποθετούνται, εν είδει βίδας, μέσα στο κόκαλο των γνάθων και έχουν το σχήμα της ρίζας του δοντιού. Εμφύτευμα, δηλαδή, ονομάζουμε τη «ρίζα» που φτιάξαμε, στην οποία στηρίζεται το υπόλοιπο δόντι, που είναι συνήθως από πορσελάνη.

Τα πλεονεκτήματα
• Δεν χρειάζεται να τροχιστούν τα διπλανά δόντια.
• Εμποδίζουν την περαιτέρω απώλεια οστού.
• Σταθεροποιούν τις οδοντοστοιχίες.
• Τα δόντια που κατασκευάζονται πάνω τους μοιάζουν φυσικά.
Πότε προτιμώνται;
• Όταν λείπει ένα δόντι και ο γιατρός δεν θέλει να τροχιστούν τα γειτονικά ακέραια δόντια, προκειμένου να χρησιμοποιηθούν ως στηρίγματα γέφυρας.
• Όταν λείπουν περισσότερα δόντια και η κατασκευή γέφυρας δεν είναι δυνατή, επειδή υπάρχουν μεγάλα διαστήματα και είναι δύσκολο να στηριχτεί χρησιμοποιώντας τα υπάρχοντα λιγοστά δόντια.
• Όταν λείπουν όλα τα δόντια. Τα εμφυτεύματα χρησιμοποιούνται για να συγκρατούν σταθερή την οδοντοστοιχία στο στόμα.

Εγώ μπορώ να βάλω εμφυτεύματα;
Πριν βάλετε το εμφύτευμα, γίνεται κλινικός έλεγχος και πανοραμική ή αξονική τομογραφία. Αν δεν υπάρχει επαρκές οστό, δεν μπορεί να γίνει η επέμβαση. Ο γιατρός θα πάρει το ιατρικό ιστορικό σας, καθώς άνθρωποι με σοβαρές παθήσεις, π.χ. προχωρημένη οστεοπόρωση ή αρρύθμιστο διαβήτη, δεν μπορούν να βάλουν εμφυτεύματα. Επίσης, για να τοποθετηθούν εμφυτεύματα σε παιδιά, θα πρέπει να έχει ολοκληρωθεί η ανάπτυξή τους (μετά την ηλικία των 18 χρόνων).

Ποια είναι η διαδικασία τοποθέτησης;
Τα εμφυτεύματα τοποθετούνται με τοπική αναισθησία, και με τη βοήθεια ειδικών ακτινογραφιών και μηχανημάτων εξασφαλίζεται ότι θα μπουν στη σωστή θέση. Μετά την επέμβαση, τα εμφυτεύματα συνήθως καλύπτονται από τα ούλα και παραμένουν στη γνάθο 2-6 μήνες για να ενσωματωθούν με το οστό. Στο διάστημα αυτό, οι ασθενείς χρησιμοποιούν προσωρινές γέφυρες ή οδοντοστοιχίες, για να μπορούν να μασούν και να μιλούν χωρίς πρόβλημα. Κατόπιν, αρχίζει η κατασκευή και η τοποθέτηση του πορσελάνινου δοντιού πάνω στο εμφύτευμα.


• Σε ορισμένες περιπτώσεις, όπως π.χ. όταν η οστική πυκνότητα το επιτρέπει, δεν αποκλείεται να γίνει η προσθετική εργασία μαζί με την τοποθέτηση του εμφυτεύματος, με ελαχιστοποίηση του χρόνου αναμονής. Ωστόσο, συμβαίνει συχνά κατά τη διαδικασία να μην υπάρχει στην περιοχή το απαραίτητο οστό, οπότε χρειάζεται να χρησιμοποιηθεί οστικό μόσχευμα (από το εμπόριο ή τον ίδιο τον ασθενή).
Είναι επώδυνη η τοποθέτησή τους;
Σε γενικές γραμμές, η όλη διαδικασία δεν προκαλεί έντονο πόνο και η όποια ενόχληση αντιμετωπίζεται με ένα απλό παυσίπονο. Αν τοποθετηθούν πολλά εμφυτεύματα στην ίδια επέμβαση, μπορεί να παρατηρηθεί ελαφρύ πρήξιμο.
Μπορεί ο οργανισμός να τα απορρίψει;
Ο οργανισμός δεν τα απορρίπτει, γιατί είναι κατασκευασμένα από υλικό συμβατό με αυτόν, το οποίο μάλιστα χρησιμοποιείται εδώ και χρόνια στην Ορθοπεδική. Προβλήματα μπορεί να παρουσιαστούν αν τα εμφυτεύματα δεν είναι κατασκευασμένα σύμφωνα με τις έγκυρες προδιαγραφές, π.χ. της Ευρωπαϊκής Ένωσης, ή αν γίνουν λάθη κατά την τεχνική τοποθέτησής τους, όταν ο γιατρός δεν είναι εξειδικευμένος.
Πόσο διαρκούν;
Τα εμφυτεύματα έχουν σχεδιαστεί ώστε να είναι μόνιμα, όπως τα φυσικά δόντια. Μάλιστα, μπορεί να διατηρηθούν ακόμη και μετά από 20 χρόνια χρήσης, αρκεί να τα φροντίζετε σωστά.
Τι φροντίδα χρειάζονται;
Όπως και τα φυσικά δόντια, τα εμφυτεύματα χρειάζονται φροντίδα, καθημερινό βούρτσισμα και τακτικές επισκέψεις στο γιατρό. Διαφορετικά, η πιθανότητα να αντιμετωπίσετε προβλήματα, όπως η περιεμφυτευματίτιδα (φλεγμονή των ιστών γύρω από το εμφύτευμα), αυξάνεται. Επίσης, το κάπνισμα και η άσκηση υπερβολικής πίεσης στα εμφυτεύματα (σφίξιμο των δοντιών) επηρεάζουν αρνητικά το αποτέλεσμα της αποκατάστασης.
Αν ο οδοντίατρος είναι έμπειρος και εξειδικευμένος, το ποσοστό αποτυχίας της μεθόδου είναι μικρότερο του 1%
Πόσο κοστίζουν;
Εξαρτάται από το είδος του εμφυτεύματος, την τεχνική, και την εμπειρία του θεράποντος γιατρού. Συνήθως, οι τελικές τιμές κυμαίνονται από 1.200 έως 2.000 € για την πλήρη αποκατάσταση ενός δοντιού. Αν και το κόστος των εμφυτευμάτων είναι υψηλό, το καλό είναι ότι δεν χρειάζεται να ξανακατασκευαστούν στο μέλλον, όπως συμβαίνει συχνά με μια απλή γέφυρα ή οδοντοστοιχία. Επιπλέον, αφήνοντας ανέπαφα τα γειτονικά δόντια, δεν τα εκθέτουμε σε νέα προβλήματα (όπως τερηδόνα στα σημεία τροχισμού) που απαιτούν επιπλέον θεραπείες και αυξάνουν το κόστος της συμβατικής θεραπείας.
Είναι όλα τα εμφυτεύματα ίδια;
Στην αγορά κυκλοφορούν δεκάδες εμφυτεύματα. Ωστόσο, οι εταιρείες που έχουν κάνει μελέτες για να παρακολουθήσουν τη «συμπεριφορά» των εμφυτευμάτων τους σε βάθος χρόνου, όπως απαιτούν τα διεθνή πρότυπα, είναι ελάχιστες και μόνο αυτές σας καλύπτουν με ανταλλακτικά και υλικά, αν προκύψει ανάγκη. Γι’ αυτόν το λόγο και τα εμφυτεύματά τους κοστίζουν περισσότερο. Αντίθετα, οι απομιμήσεις μπορεί να είναι φθηνότερες, αλλά δεν δίνουν εγγυήσεις. Ζητήστε, λοιπόν, από το γιατρό διευκρινίσεις για τα εμφυτεύματα που πρόκειται να χρησιμοποιήσετε.
ΞΑΝΘΟΠΟΥΛΟΣ ΓΡΗΓΟΡΙΟΣ
ΧΕΙΡΟΥΡΓΟΣ ΟΔΟΝΤΙΑΤΡΟΣ-ΕΜΦΥΤΕΥΜΑΤΟΛΟΓΟΣ

